Takotsubo cardiomyopathy with apical thrombus
Discussion
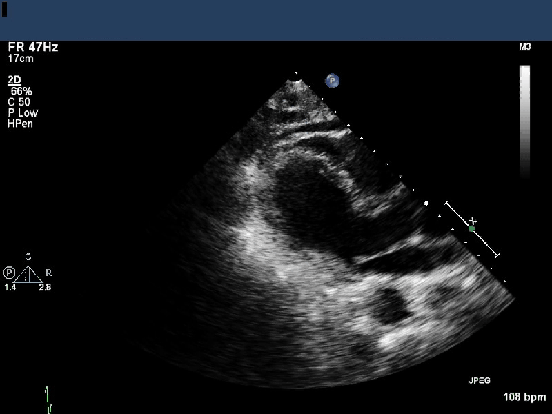
Image 1 is an apical 4-chamber view which shows apical ballooning and
hyperdynamic basal shortening, a classic depiction of takotsubo
cardiomyopathy. An abnormality is visualized in the left ventricular
apex.
Image 2 is a paraternal long axis. Severe segmental LV dysfunction
with apical akinesis and is again seen. The left ventricular apex
abnormality is less prominently redemonstrated.
Takotsubo's cardiomyopathy is classically seen in acute emotional or
physical stress and mimics an acute anterior ST elevation myocardial
infarction, although it is commonly described in septic cardiomyopathy
and postarrest cardiomyopathy as well. Echocardiographic findings
include hyperkinetic basal segments and wall motion abnormalities of the
apical and, midventricular segments with “apical ballooning”. Ejection
fraction is reduced, but recovers quickly after resolution of myocardial
stunning. Takotsubo refers to the characteristic shape of the ventricle
and is one of many manifestations of stress cardiomyopathy. It likely
results from an myocardial stunning in response to the surge of
endogenous catecholamines produced by a stressful event or by receipt of
exogenous catecholamines, or both.1 Diagnosis requires the presence of
acute left ventricular wall dysfunction extending beyond one coronary
artery region in the absence of significant obstructive coronary disease
with rapid improvement of LV systolic function within days to weeks.1,2
Apical thrombus is a complication of 1-8% of all cases of Takotsubo's
cardiomyopathy.3,4 When thrombus is documented, anticoagulation is
necessary. There are no consensus guidelines for duration of treatment,
but most agree that anticoagulation should be continued until there is
echocardiographic documentation of resolution of myocardial
contractility and thrombus. Prognosis is generally excellent with full
recovery within weeks to months.
This patient never had cardiac arrest, although the pathophysiologic
mechanism for post-arrest myocardial stunning can coincide with stress
cardiomyopathy. Subsequent echocardiography revealed improved ejection
fraction at 4 days, and complete resolution of ejection fraction and
thrombus at 8 days.
References
- Citro R, Lyon AR, Meimoun P, Omerovic E, Redfors B, Buck T, Lerakis S, Parodi G, Silverio A, Eitel I, et al. Standard and advanced echocardiography in takotsubo (stress) cardiomyopathy: clinical and prognostic implications. J Am Soc Echocardiogr. 2015 Jan;28(1):57-74.
-
Komamura K, Fukui M, Iwasaku T, Hirotani S, Masuyama T. Takotsubo cardiomyopathy: pathophysiology, diagnosis and treatment. World J Cardiol 2014;6(7):602-609.
-
Kurisu S, Inoue I, Kawagoe T, Ishihara M, Shimatani Y, Nakama Y,
Maruhashi T, Kagawa E, Dai K. Incidence and treatment of left
ventricular apical thrombosis in Tako-tsubo cardiomyopathy. Intl J of Card 2009;146:e58-e60.
-
Haghi D, Papavassiliu T, Heggemann F, Kaden JJ, Borggrere M,
Suselbeck T. Incidence and clinical significance of left ventricular
thrombus in tako-tsubo cardiomyopathy assessed with echocardiography. Q J Med 2008; 101:381-386.