Atrial Myxoma
Comments
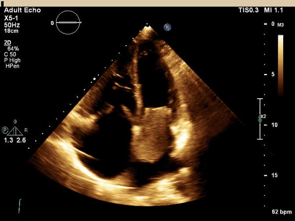
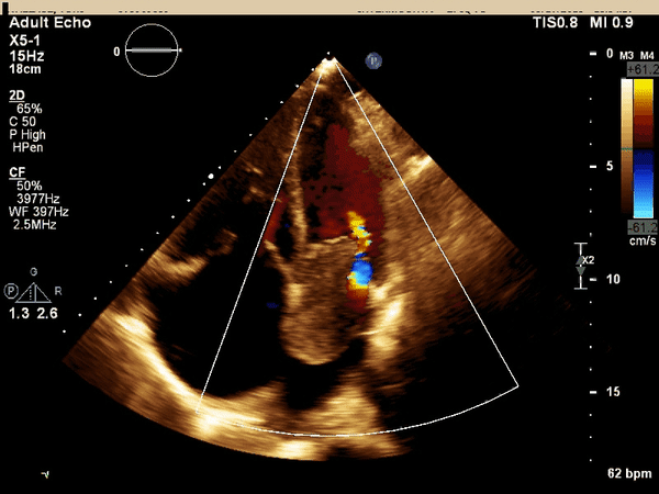
The above echo images demonstrate several abnormalities.
-
There is moderate systolic dysfunction (EF 36%),
-
There is a large left atrial mass measuring 5.5 x 3 cm,
-
The mass is obstructing mitral inflow and causing moderate mitral regurgitation,
-
There is severe tricuspid regurgitation and right atrial dilation
confirmed by the absence of coaption of the tricuspid leaflets and
systolic flow reversal in the inferior vena cava.
Cardiac myxoma is the most common primary cardiac neoplasm in adults.
While it is considered benign, it can cause valvular dysfunction and
has the potential to embolize into the systemic or pulmonary
circulation, depending on which chamber it is located.
In the case of our patient, the size of the large left atrial mass
caused moderate mitral regurgitation and obstruction to mitral inflow.
The combination of these and reduced systolic function led to increased
left atrial pressure. This increase in the left atrial pressure
ultimately led to pulmonary venous congestion and hypertension and RV
enlargement, which was the cause of the hepatic congestion and symptoms
of liver failure.
Our patient also presented with transient neurologic symptoms. While
this was mostly attributed to hypoglycemia from liver failure, we
considered the possibility that a piece of the myxoma embolized, causing
a cerebrovascular accident. Up to one third of cases of myxoma can have
evidence of a distant embolism.
Myxomas are most commonly found in the left atrium (75% of the time),
however, they can be found in any cardiac chamber. Carney complex is an
autosomal dominant condition which is characterized by skin
pigmentation, endocrine overreactivity, and cardiac and skin myxomas; up
to 7% of myxomas are associated with this rare condition.
In addition to a myxoma, other possible causes of an intracardiac
mass include thrombus, fibroelastomas, fibromas, and sarcomas. TEE and
MRI can be helpful in distinguishing these possible diagnoses.
This patient was admitted to the ICU and her liver failure was
stabilized. Due to the large size of the tumor causing valvular disease
and potential for significant embolic events, she went to the operating
room with CT surgery where she had resection of the large atrial mass as
well as tricuspid and mitral annuloplasty. Pathology confirmed
diagnosis of benign myxoma.
References
- Lestuzzi, Chiara. Primary Tumors of the Heart. Current Opinion in Cardiology. Volume 31 (6): November 2016, p. 593-598.
-
Butany et al. Cardiac Tumors: Diagnosis and Management. Lancet Oncol. 2005; 6: 219-228.
-
Saric et al. Guidelines for the Use of Echocardiography in the Evaluation of a Cardiac Source of Embolism. Journal of the American Society of Echocardiography. January 2016.