Authors
Shishir Rao, DO; Internal Medicine Resident, University of Arizona. Department of Medicine.
Swathy Puthalapattu, MD; Clinical Assistant Professor, University of Arizona. Division of Pulmonary and Critical Care Medicine.
Case
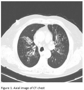
A 65-year-old male with poor healthcare follow-up presents to the pulmonary clinic with “years of breathing problems”. He reports shortness of breath and cough productive of grayish-brown sputum. He denies fevers, chills, weight loss, hemoptysis and night sweats. He denies recent travel history. His physical exam is significant for scattered wheezes bilaterally. Labs are significant for peripheral eosinophilia of cells/microL (21.7% eosinophils) and elevated total Ig E level of 2385 IU/ml. Representative images of his CT chest are shown below.
Images



Question
What is the most likely diagnosis?
A. Eosinophilic granulomatosis with polyangiitis
B. Loeffler’s pneumonia
C. Allergic bronchopulmonary aspergillosis
D. Alpha 1 antitrypsin deficiency
