Author
Van Holden, M.D.
Pulmonary and Critical Care Medicine Fellow
University of Maryland Medical Center, Baltimore, MD
Case
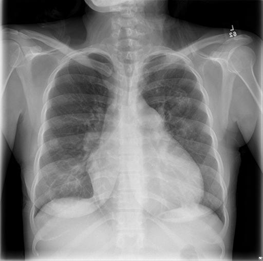
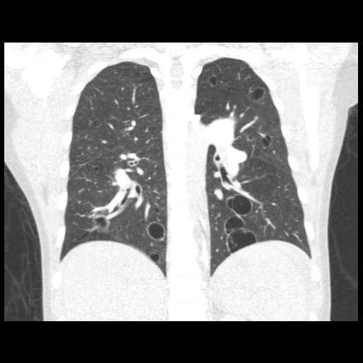
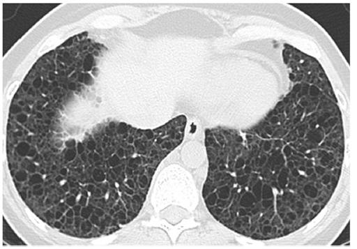
A 33 year-old woman with a history of uterine fibroids and iron deficiency anemia presented with progressively worsening dyspnea on exertion for 2 years. She reported shortness of breath with climbing one flight of stairs. She had an associated dry cough and intermittent sharp right-sided chest pain.
Social History: Smokes 3-5 cigarettes per day for 15 years. Drinks alcohol occasionally. Prior history of smoking marijuana. Has had 1 sexual partner.
Vital signs and cardiopulmonary exam were normal. Basic labs and EKG were also normal. Due to an elevated D-dimer of 570 ng/mL, she had a CTA chest done.
CXR and CT Chest



Question
What is the most likely etiology of her diffuse cystic lung disease?
A. Pulmonary Langerhans cell histiocytosis
B. Lymphoid interstitial pneumonia
C. Lymphangioleiomyomatosis
D. Emphysema