Authors
Dr Anshul Jain
Assistant Professor, department of pulmonary medicine, ESI PGIMSR,
Basaidarapur, New Delhi, India
Dr Sanket Joshi
DM fellow, department of pulmonary medicine, ESI PGIMSR,
Basaidarapur, New Delhi, India
Dr Mahismita Patro,
Assistant Professor, department of pulmonary medicine, ESI PGIMSR,
Basaidarapur, New Delhi, India
Dr Dipti Gothi (corresponding author),
Professor, department of pulmonary medicine, ESI PGIMSR,
Basaidarapur, New Delhi, India
Case
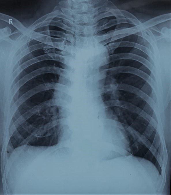
A 39-year-old, man presented to the chest clinic with complaints of right-sided chest pain and mild exertional dyspnea for the last six months. The pain was dull aching in nature and localized to the right lower axillary area and back. There was no history of fever, weight loss or loss of appetite. He had completed six months of anti-tubercular therapy (Rifampicin, isoniazid, ethambutol and pyrazinamide) on a clinical-radiological basis for right-sided pleural effusion one year back. On physical examination his heart rate was 84/min, respiratory rate was 16/min, saturation was 98% at room air by pulse oximetry and blood pressure 134/80 mm of Hg. The respiratory system examination revealed decreased vesicular breath sounds in the right infra-axillary and infra-scapular areas. All the routine blood investigations including haemogram, liver profile and renal profile were within normal limits. His chest radiograph showed blunting of the right costophrenic angle (figure 1). The B mode ultrasonographic image of the right lower chest wall alone and with the colour Doppler is shown in figure 2.


Question
Name the ultrasonographic sign shown in figure 2. What is the diagnosis?
A. Presence of fluid colour sign, pleural effusion.
B. Absent fluid colour sign, pleural thickening.
C. Absent fluid colour sign, pleural effusion.
D. Presence of fluid colour sign, pleural thickening.
