
Commonly called a “spot on the lung” or a “shadow,” a nodule is a round area that is more dense than normal lung tissue. It shows up as a white spot on a CT scan. Lung nodules are usually caused by scar tissue, a healed infection that may never have made you sick, or some irritant in the air. Sometimes, a nodule can be an early lung cancer.
Why have I been given this handout?
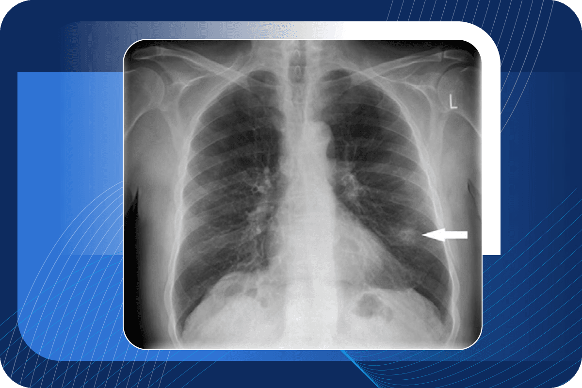
One or more lung nodules were seen on your recent chest x-ray or CT (“CAT”) scan.
How common are lung nodules?
Nodules are found in up to half of adults who get a chest x-ray or CT scan.
Do nodules cause any symptoms?
In general, small nodules don’t cause any noticeable problems. They’re too small to cause pain or breathing problems.
How big is the nodule?
Your health care team can tell you the exact size of your nodule. Most nodules are less than 10 millimeters (about a ½ inch).
Here are the sizes of some common items for comparison.

Should I worry that I have a nodule?
Most nodules are not cancer, but for a small number of people, the nodule may turn out to be an early cancer. Your doctor can tell if your nodule is lung cancer by:
- Seeing how it looks on the CT scan.
- Seeing whether it grows over time. A nodule that grows larger over time is a sign that it could be a cancer.
- Taking a sample of the nodule with a needle or surgery. Most people with a nodule will NOT need to have this test.
Did you just say, “lung cancer”?
Hearing the words “lung cancer” can be very stressful. It is normal to be worried and anxious when there is even a small chance you might have lung cancer. Please talk with your health care team about any worries or concerns that you have.
What is the chance that the nodule is an early lung cancer?
Fewer than 5 percent of all nodules turn out to be cancer.
Cancer is more likely in patients who:
- are older.
- have a larger nodule.
- smoked or still smoke cigarettes
- have other cancer risks, such as lung cancer in your family or handling asbestos in the past.
For example, a small nodule in a young person who never smoked is less likely to be cancer than a larger nodule in an older person who recently quit smoking. However, even in the person with a high risk of lung cancer, most small nodules are not lung cancer.
Some people would like an estimate of how likely their nodule is to be lung cancer. If knowing that number would help you, please contact your health care provider.
What if my nodule is lung cancer?
Even if a nodule turns out to be lung cancer, it is likely to be an early-stage lung cancer. People with early-stage lung cancer that is treated are less likely to die than people who are diagnosed at a later stage when the cancer has started to cause symptoms.
Your health care team will be with you every step of the way. Please discuss any concerns you have about lung cancer with them. Your health care team will probably recommend getting more CT scans to keep a close eye on the nodule to see if it changes. We call this “active surveillance.”
- If a nodule is not cancer, it usually won’t grow. If the nodule doesn’t grow over a two-year period, it is very unlikely to be cancer. Most of the time, it is safe to stop watching nodules if there is no growth over a two-year period.
- On the other hand, if the nodule is getting bigger, it should be looked at more closely to see if it is lung cancer. Nodules can be viewed more closely using different radiology studies or by biopsy (using a needle or surgery to take a sample of the nodule to look at under a microscope). Your health care team will determine which is best for you. You should let them know if you have strong preferences about having specific tests related to your nodule.
What if I’ve had a chest x-ray or CT in the past?
Let your health care provider know if you’ve ever had a chest ray or CT. It is very reassuring if your nodule is the same size as it was on past imaging.
Why shouldn’t I get a biopsy now?
- A biopsy means removing a piece of your lung to look at it under a microscope. Biopsies are usually not recommended when nodules are small because it is very difficult to biopsy them safely.
- Doing a biopsy when a nodule is small can cause harm such as collapse of the lung, bleeding, or infection.
- Biopsies and other studies (for example, a “PET” scan) are sometimes done for nodules that are nine mm or larger. If you want more information on biopsies, see ATS patient handout “Staging of Lung Cancer” for additional information.
What about other imaging studies besides a CT scan?
You may have heard about PET scans or MRI scans. Unfortunately, these scans aren’t very useful for small nodules. PET scans can’t “see” nodules less than about a centimeter, but can be helpful for larger nodules, both to tell if the nodule is cancer and also to see if there are any signs of cancer in other parts of your body. MRI scans can’t see lung nodules very well.
Is it really safe to wait for the next CT scan?
Most cancers grow fairly slowly, and it takes several months for them to get bigger. So even if the nodule is lung cancer, it will likely still be small in a few months.
Even if the nodule is lung cancer that is growing, there is a very good chance that surgery or radiation will cure you.
Waiting a few months for the next CT scan is very safe and should not affect the treatment you receive or your chances for a cure if the nodule turns out to be cancer.
How does my clinician decide when to do the next CT scan?
There are several guidelines for how to decide when to get the next CT scan. These guidelines are based on the chance the nodule is lung cancer and how big the nodule might be at the time of the next scan.
Your health care provider will determine the best time for your next CT scan based on these guidelines. He/she may choose to discuss the CT results with other specialists to determine the best plan for you.
You should be involved in the decision for when to get the next CT scan. Some people feel worried while waiting several months for their next CT scan. Call your health care provider if you have questions or concerns about the recommended date.
How long will I get CT scans?
Some people will only need one repeat CT scan a year after the first. Most people will get a few CT scans over a period of two years after the first. This decision is also based on how likely the nodule is to be lung cancer.
Write the date of when your next CT scan is due to be scheduled here:
_____________________________________________
Call your health care provider if you haven’t had the scan by then.
Can all these extra CT scans be dangerous?
CT scans use radiation to take pictures of the body. Though radiation in high doses can cause cancer, the chance that a few CT scans will cause cancer is extremely low.
What if I’m still smoking?
Quitting now will decrease your chance of getting lung cancer in the future, as well as many other serious health problems like emphysema and heart disease.
Some people think that if they already have lung cancer, they might as well keep smoking. THAT IS WRONG.
Your health care team will help you quit by prescribing medicines and offering counseling.
You can also call 1-800-QUIT NOW (1-800-784-8669) for individualized counseling and follow-up calls from trained counselors in English to help you quit. For Spanish call 1-855-335-3569.
What are my “takeaway” messages?
- Most small nodules are not lung cancer.
Most people with small nodules will need additional CT scans during the next year or two. Let your health care provider know if you have had a chest x-ray or CT scan in the past so they can check whether the nodule was there before. - Biopsies of small nodules can cause more harm than good.
- If you are still smoking, quitting is the most important thing you can do to improve your health.
- It is normal to be worried when there is even a small chance of lung cancer.
- Please share your concerns with your health care team.
Action Steps
Contact your clinician if you:
- Have had a chest x-ray or CT scan in the past.
- Have a change or increase in cough or cough up blood.
- Develop new shortness of breath, chest pain, fevers, or chills.
- Experience unintended weight loss of 10 pounds or more.
- Have worry and anxiety about the nodule.
- Want more information.
Resources
U.S. National Library of Medicine
Smokefree.gov
American Thoracic Society
- Lung Cancer (introduction, prevention, treatment, staging)
- Lung Cancer Screening Guide
Reviewed March 2024 by Drs. Christopher Slatore and Rendy Wiener.
Authors: Christopher G. Slatore MD MS, Renda Soylemez Wiener MD MPH, Amber D. Laing BS RN, and Donald Sullivan, MD, MA, MCR
Reviewer: Marianna Sockrider, MD, DrPH
Illustration credit: OurDesigns, Inc.
This information is a public service of the American Thoracic Society. The content is for educational purposes only. It should not be used as a substitute for the medical advice of one’s health care provider.
The American Thoracic Society acknowledges the VHA National Center for Health Promotion and Disease Prevention for part of the content of this publication.