Answer B: Management should take place in the intensive care
unit while continuing anticoagulation. Thrombolytic therapy or surgical
embolectomy should also be considered.
Discussion
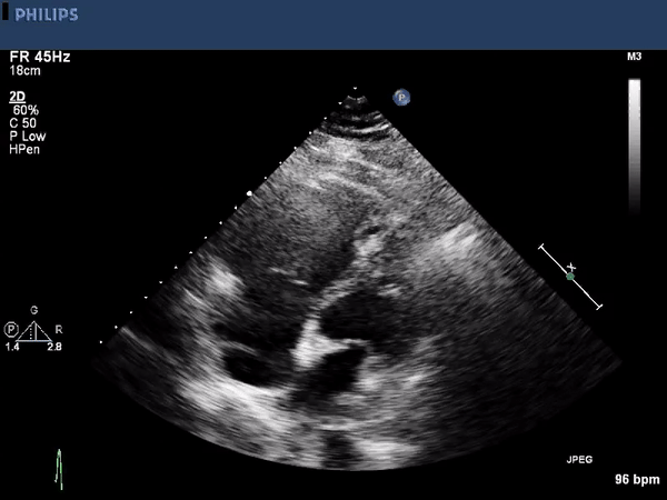
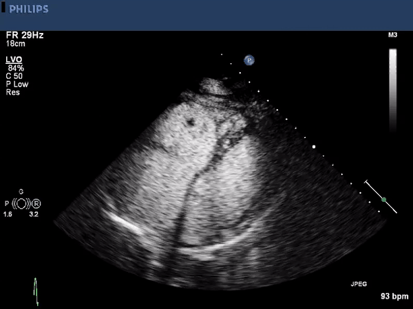
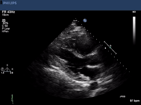
The echocardiographic images above show a large right ventricular
thrombus. The first image is a parasternal long axis view highlighting
the right ventricular inflow tract. A mobile thrombus is seen near the
anterior border. The other two images are using an apical approach
showing the right and left ventricle. Again a mobile the thrombus is
seen within the right ventricle. Contrast is used to enhance the
thrombus borders.
Echocardiography can be a helpful tool when managing patients with
pulmonary embolism. The presence or absence of right ventricular (RV)
dysfunction can readily assist with triage and prognostication.
Concerning findings for RV dysfunction on echo include: RV dilation,
increase in RV-LV diameter ratio, hypokinesis of the RV free wall,
increased tricuspid regurgitant jet velocity, or a decreased TAPSE.
There tends to be wide variability in clinical outcomes when RV
dysfunction is present on echo, which can make determining the clinical
significance difficult. However, patients with none of the above
findings are typically very low risk for developing complications and
can safely be triaged to a lower level of care or even be managed in an
outpatient setting.1
In addition to assessing right ventricular function, echocardiography can also identify a right-to-left shunt through a patent foramen ovale,
or the presence of a RV thrombus. In fact, the appearance of a thrombus
in the right sided chambers of the heart can be a relatively common
finding. The literature suggests that roughly 4-18% of patients will
have a thrombus on TTE after a pulmonary embolism has been diagnosed.2,3
These patients have a significantly higher mortality rate than those
with pulmonary embolism alone. In a 2002 meta-analysis, the mortality
rate exceeded 25%, and without treatment was 100%.3
There are two patterns of right sided thrombi that have been described4.
Type A is a highly mobile serpiginous, or worm-like thrombus. It is
hypothesized that these clots have developed in the lower extremities
and have embolized to the right chambers of the heart; otherwise known
as a “thrombus in transit”. They can often be seen traversing through
valves or even through a patent foramen ovale. Type A thrombus have been
associated with a poor prognosis, and over 40% of patients with this
type will have a thrombus-related death.4 Type B thrombi are
more broad based and typically develop in the right heart itself. They
are most often seen in patients with low cardiac output or dilated
cardiac chambers.5 Patients with type B thrombi have a better prognosis and mortality rate in this group has been reported around 4%.4
There is a small subset of patients that fall between these two types
of thrombi. The thrombus appears highly mobile, but not serpiginous.
When analyzed, these in-between thombi were found to have intermediate
mortality risk compared to the other two types.4
Treatment for right heart thrombi remains controversial. Because of
the high mortality that has been associated with these cases, it is
often felt that anticoagulation alone may be inadequate. In 1989, a
meta-analysis found no significant difference between anticoagulation,
thrombolytic therapy, or surgery in regards to mortality.4
However, in 2002 a separate meta-analysis found a significant advantage
for thrombolytic therapy over anticoagulation alone or when combined
with surgery. The study reported an odds ratio for mortality of 0.33
with thrombolytic therapy compared to anticoagulation, and 0.86 compared
to surgery.2 Since there are no large randomized studies
evaluating optimal treatment, clinical judgment must be used to
determine the optimal therapy.
This patient had an intermediate-type thrombus with elements of type A
and B. Given her clinical stability, she was initially monitored on
heparin therapy alone for two days. She had a repeat echocardiogram and
transesophageal echocardiogram which then demonstrated increasing size
of the thrombus. She was ultimately taken to the operating room where
she had an embolectomy of the right ventricle and left main pulmonary
artery. She required a right ventricular assist device following the
operation due to right ventricular failure after embolectomy.
References
- Members AF, Konstantinides SV, Torbicki A, Agnelli G, Danchin N,
Fitzmaurice D, et al. 2014 ESC Guidelines on the diagnosis and
management of acute pulmonary embolism. European Heart Journal. 2014 Nov
14;35(43):3033–73.
- Torbicki A, Galié N, Covezzoli A, Rossi E, De Rosa M, Goldhaber SZ.
Right heart thrombi in pulmonary embolism: Results from the
international cooperative pulmonary embolism registry. Journal of the
American College of Cardiology. 2003 Jun 18;41(12):2245–51.
- Rose PS, Punjabi NM, Pearse DB. Treatment of right heart thromboemboli. Chest. 2002 Mar 1;121(3):806–14.
- Kronik G. The European Cooperative Study on the clinical
significance of right heart thrombi. European Heart Journal. 1989 Dec
1;10(12):1046–59.
- Ferrari E, Benhamou M, Berthier F, Baudouy M. Mobile thrombi of the
right heart in pulmonary embolism: Delayed disappearance after
thrombolytic treatment. Chest. 2005 Mar 1;127(3):1051–