Authors
Shilpa Pandey M.D1,4., Rohini Coorg M.D.2,4, Sherrill Mohan, BS RPSGT1, Kevin Kaplan, M.D.1,3,4
- Texas Children’s Hospital Sleep Center. Houston Texas USA
- Texas Children’s Hospital. Pediatric Neurology. Houston Texas USA
- Texas Children’s Hospital. Pediatric Pulmonary. Houston Texas USA
- Baylor College of Medicine. Houston Texas USA
Case
An 18-year-old male with cerebral palsy, global developmental delay, spastic quadriplegia, and static encephalopathy secondary to hypoxic ischemic injury in the perinatal period presents with excessive sleepiness during therapy sessions. His blood gas was PH 7.39/PC02-49/P02-53/ HCO3-33 with history of poor airway clearance, recurrent pneumonias and aspiration to thin liquids on swallow study. He was evaluated using a baseline PSG and subsequent PAP titration. Current medications include baclofen 40 mg three times daily, clonazepam 0.5 mg daily, clonidine 0.1 mg at bedtime.
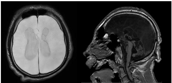
An MRI of the brain shows diffuse encephalomalacia involving the supratentorial brain parenchyma with volume loss of the cerebellum, the pons, and brain stem. (Figure 1)

The diagnostic baseline polysomnogram showed moderate obstructive sleep apnea (oAHI 9.73) and central sleep apnea (cAHI 5.84) without significant hypoxemia (SpO2 nadir 90%), or hypercapnia (TcCO2 max 48 mmHg).
He returned for a PAP titration study where he was titrated to BiPAP ST 8/4 cm H20 with rate of 10 bpm. Since then, while awake, he shows no evidence of hypoxemia or hypercapnia on room air and HCO3 has improved to 26.
The baseline polysomnogram study was scored as REM/NREM as specific sleep architecture was not identified on EEG. During the polysomnogram his EEG was noted to be abnormal (Figures 2 & 3).


Question
What is the finding associated with the EEG?
A. Equipment failure
B. Burst suppression of the EEG
C. Decrement associated with seizure activity
D. Loss of signal due to hydrocephalus
E. Sedation from medications

