Authors
Shambo Guha Roy1, MD, Oleg Kinaschuk2, MD, Candace Griffith2, MD, Fatima Babar2, MD
1 Department of Radiology, Mercy Catholic Medical Centre, Darby, PA
2 Department of Medicine, Mercy Catholic Medical Centre, Darby, PA
Case
A 45-year-old male with a history of HIV for 20 years, IV drug use, hypertension, asthma and questionable medication adherence presented to the ED with progressively worsening shortness of breath over the past month, new-onset fevers and bloody stools. His home medication regimen consisted of abacavir, dolutegravir, lamivudine, azithromycin, trimethoprim-sulfamethoxazole, amlodipine and lisinopril.
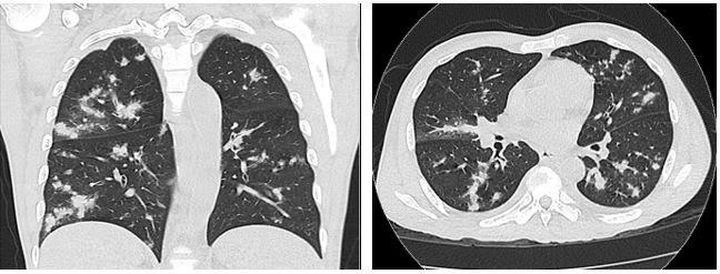
On admission, he was febrile (103.8°F), tachycardic and tachypneic. Physical exam revealed extensive purple-pink skin lesions and lower extremity pitting edema with no clinical signs of cellulitis. Lymph node exam was significant for supraclavicular, axillary, and inguinal lymphadenopathy. Labs revealed hemoglobin of 5.3 g/dl, lactate of 3.5 mmol/L and absolute CD4 count of 19 cell/ul. CT scans of the chest, abdomen and pelvis revealed multiple retroperitoneal and mesenteric lymph nodes, as well as multiple lytic lesions involving the pelvis and thoracolumbar vertebrae. Representative images from the chest CT are shown below.
Images 1 & 2

Question
What is the diagnosis?
A. Multifocal Bacterial Pneumonia
B. Pulmonary Aspergillosis
C. Tuberculosis
D. Kaposi Sarcoma
E. Lymphoma
F. Pneumocystis Pneumonia