Author
Nikhil Jagan, Lee E. Morrow
Division of Pulmonary and Critical Care Medicine
Creighton University Medical Center
Omaha, Nebraska
Case
A 66-year-old man with a history of polysubstance abuse and squamous cell carcinoma of the larynx (treated with chemotherapy and radiation) presented to the hospital for altered mental status and a week-long cough. Given his subsequent clinical deterioration, he was emergently intubated.
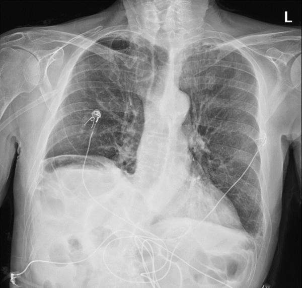
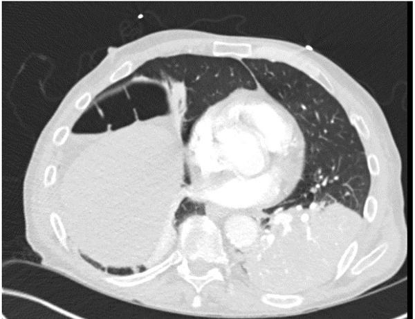
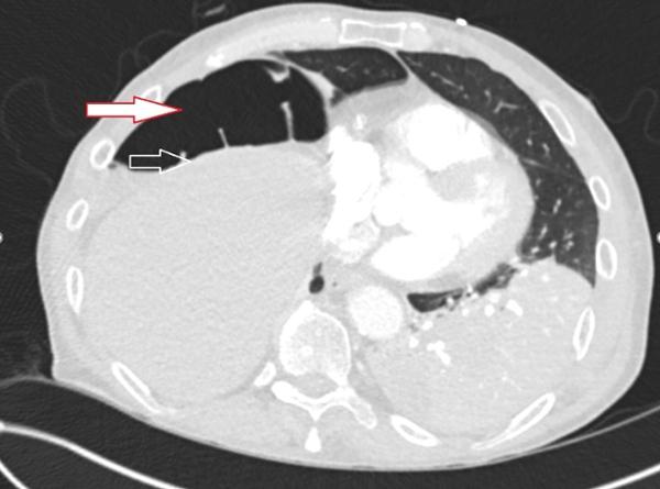
A chest x-ray done prior to intubation showed concern for free air below the right diaphragm (Image 1). A subsequent CT scan showed dense left lower lobe consolidation and confirmed a gaseous collection between the right hemidiaphragm and the liver (Image 2).
Images


Question
What is the next step in managing this patient?
A. Consult gastroenterology for upper and lower endoscopy
B. Monitor the gaseous collection with serial imaging
C. Consult general surgery to assess the cause of the gaseous collection in his abdomen
D. Ignore the gas and treat his pneumonia with antibiotics