Author
Hasan S. Yamin, MD1, Yousef Abuasbeh, MD2
1 Pulmonary and Critical Care Department
An-Najah National University Hospital, Palestine.
2Thoracic Surgery Department
St. Joseph Hospital, Palestine
Case
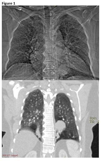
A 53-year-old nonsmoking woman presented to pulmonary clinic with progressive dry cough of several years duration, associated with mild exertional dyspnea. Her past medical history is significant for well controlled diabetes mellitus and hypertension. She denied wheezing, chest pain, hemoptysis, anorexia, weight loss, occupational exposure or recent travel.
Routine labs were within normal limits. Her chest film and chest CT scan with IV contrast are shown below (Figure 1).


Question
What is the most likely diagnosis?
A. Primary lung cancer
B. Bilateral pneumonia
C. Intralobar pulmonary sequestration
D. Extralobar pulmonary sequestration
E. Bronchogenic cysts

