A. Thrombolytic therapy
Discussion
This patient's acute decompensation is concerning for acute right
ventricular failure secondary to massive pulmonary embolism (PE). The
ECG findings of S1Q3T3 and T wave inversion in lead V1 & V2 are
suggestive of right ventricular strain, with the incidence of PE varying
from 11-50%.1 POCUS confirmed the diagnosis of cardiogenic
shock due to acute RV failure and provided invaluable anatomic and
physiologic information to guide further management in the resuscitation
of the patient.
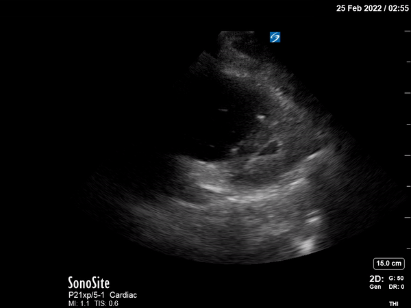
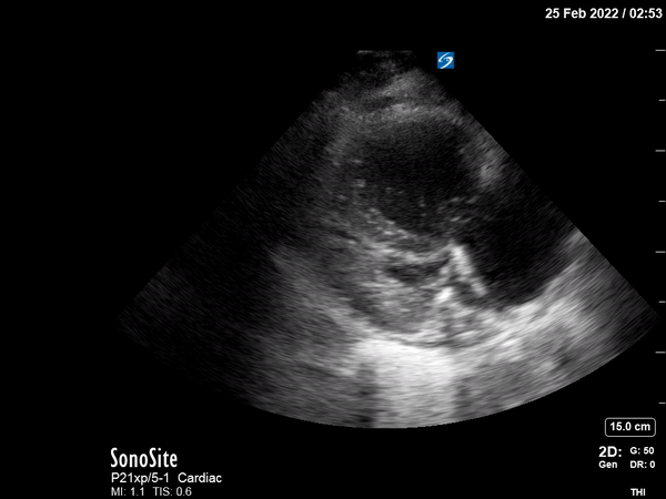
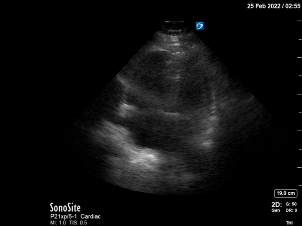
POCUS shows multiple findings consistent with acute right ventricular
(RV) systolic failure in the setting of increased RV afterload.
Parasternal long and short axis views show severe RV dilation,
flattening of the interventricular septum during systole and diastole,
and compromised LV filling. The parasternal long axis also demonstrates
dynamic obstruction of the LV outflow tract caused by systolic anterior
motion of the mitral valve (SAM), inadequate LV preload, displacement of
the interventricular septum, and tachycardia. The apical four-chamber
view shows a dilated RV with a McConnell sign (paradoxical RV apical
“hyperkinesis” in the setting of RV global hypokinesis).2
The spectrum of the pathophysiology of acute RV failure is complex
with multiple contributors. The physiology of the RV is optimized for
the highly compliant pulmonary vasculature. Acute elevation of pulmonary
vascular resistance (PVR) can occur due to pulmonary embolism, hypoxia,
and acidosis. A significant and rapid increase in PVR can cause
decoupling of the RV and pulmonary artery leading to RV failure. In the
setting of high afterload, the RV dilates to maintain stroke volume.
This dilation of the RV can cause pericardial constraint, enhancing
interventricular dependence and placing the LV at a mechanical
disadvantage with decreased diastolic filling. The underfilled LV
attempts to increase cardiac output through hyperkinesis and tachycardia
which creates the milieu for dynamic LVOT obstruction. The dynamic LVOT
obstruction further reduces cardiac output driving a physiologic spiral
that further impairs RV function resulting in increased RV dilation and
ischemia. Management consists of optimizing RV preload and afterload in
order to improve RV/LV mechanics. Ventilatory support to improve gas
exchange, thrombolysis, vasopressors, inotropes, renal replacement
therapy, pulmonary vasodilators, and in extreme cases mechanical support
should be considered.3, 4 Thus, in the question above,
answer choice A is correct. Due to her hemodynamic instability and
tenuous clinical condition, IR guided thrombectomy would not be advised
(answer choice B is incorrect). Since this is not due to acute
infection, broad-spectrum antibiotics would not be helpful acutely
(answer choice C is incorrect). The constellation of findings is not due
to acute obstruction of a coronary vessel for which emergent cardiac
catheterization would be helpful (answer choice D is incorrect).
In this hemodynamically unstable patient with evidence of acute RV
failure and no contraindications, we elected to give systemic
thrombolytic therapy amid resuscitation. Given LV outflow obstruction
with severely underfilled LV and multiple vasopressors including
phenylephrine, management options were limited. In such a situation, the
next optimal approach would be to initiate pulmonary vasodilator
therapy and venoarterial ECMO, normalize cardiac output, stabilize
biventricular function, and optimize oxygenation.3-5
The patient’s family did not wish to escalate care and she was
transitioned to comfort care consistent with her previously expressed
wishes.
References
-
Chan TC, Vilke GM, Pollack M, Brady WJ. Electrocardiographic manifestations: pulmonary embolism. J Emerg Med. 2001;21(3):263-270. doi:10.1016/s0736-4679(01)00389-4
-
Walsh BM, Moore CL. McConnell's Sign Is Not Specific for Pulmonary Embolism: Case Report and Review of the Literature. J Emerg Med. 2015;49(3):301-304. doi:10.1016/j.jemermed.2014.12.089
-
Konstam MA, Kiernan MS, Bernstein D, et al. Evaluation and Management
of Right-Sided Heart Failure: A Scientific Statement From the American
Heart Association. Circulation. 2018;137(20):e578-e622. doi:10.1161/CIR.0000000000000560
-
Ventetuolo CE, Klinger JR. Management of acute right ventricular failure in the intensive care unit. Ann Am Thorac Soc. 2014;11(5):811-822. doi:10.1513/AnnalsATS.201312-446FR
-
Grant C Jr, Richards JB, Frakes M, Cohen J, Wilcox SR. ECMO and Right Ventricular Failure: Review of the Literature. J Intensive Care Med. 2021;36(3):352-360. doi:10.1177/0885066619900503