Authors
Ashley Deschamp, M.D., M.S.
Pediatric Pulmonary Fellow
Nadia Krupp, MD
Assistant Professor of Clinical Pediatrics
Indiana University School of Medicine, Indianapolis, IN
Case
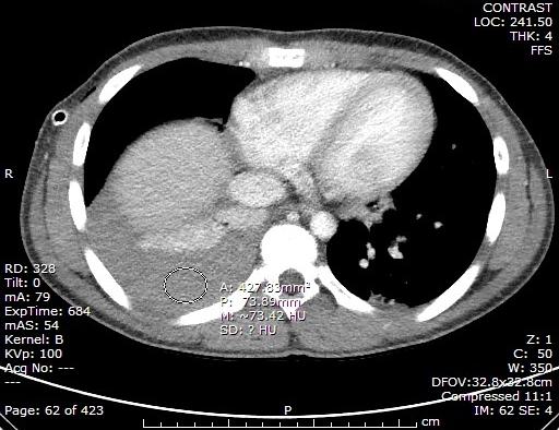
A previously healthy 13 year old male presented to the ER with a 1 day history of cough, right-sided chest pain, and dizziness. There was no recent illness, fever, travel, drug use, or sputum production. Physical examination demonstrated dullness to percussion and right-sided egophony on chest exam with no crackles or wheeze. Extremities were cool, capillary refill 3 seconds. CBC showed WBC 15.2 k/cumm (neutrophils 83%, lymphocytes 10%, monocytes 7%, eosinophils 1%, basophils 0%), hemoglobin 12.2 GM/dL, hematocrit (Hct) 36.8%, platelets 239 k/cumm. CT chest demonstrated the following:

Pleural fluid analysis revealed: grossly bloody, total nucleated cell count 3,850/cumm (54% neutrophils, 20% lymphocytes, 1% eosinophils, 25% monocytes), pleural fluid Hct 35%.
Question
What is the diagnosis?
A. Histoplasmosis
B. Hemothorax
C. Community acquired pneumonia with effusion
D. Eosinophilic pneumonia