Author
Thomas W. DeCato, MD
Pulmonary and Critical Care Medicine Fellow
University of Utah School of Medicine
Case
Presentation
A 53 year-old woman presented with worsening dyspnea over a 3-day period after traveling from sea level to an elevation of 7,000 feet. On the day of admission, she developed increased work of breathing and chest tightness. She denied fevers, chills or other new infectious symptoms. Her past medical history was significant for paroxysmal atrial fibrillation, mild intermittent asthma, and recent receipt of antibiotics for sinusitis. She was taking hormone replacement therapy for menopausal symptoms.
Physical Exam
T 36°C, BP 100/50, HR 130, RR 32, SpO2 75% on ambient air
Heart rhythm was irregularly irregular. Mild accessory muscle use. Crackles were present at the bases bilaterally. Lower extremity edema was noted bilaterally.
Relevant Hospital data
WBC 13 k/µL, Sodium 118 mg/dl, troponin 0.28 ng/mL, BNP 2565 pg/mL. CT angiogram showed bilateral pleural effusions and no pulmonary embolism.
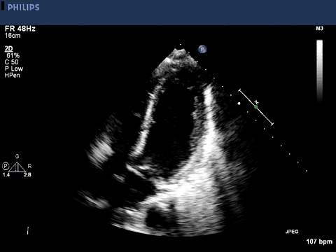
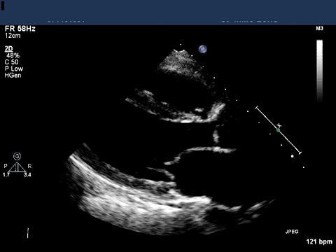
A transthoracic echocardiogram was obtained.


Question
What is the most likely diagnosis?