Author
Mohammed Megri, MD
3rd year Pulmonary and Critical Care fellow
Internal Medicine Department, Pulmonary and Critical Care Division, University of Kentucky
Case
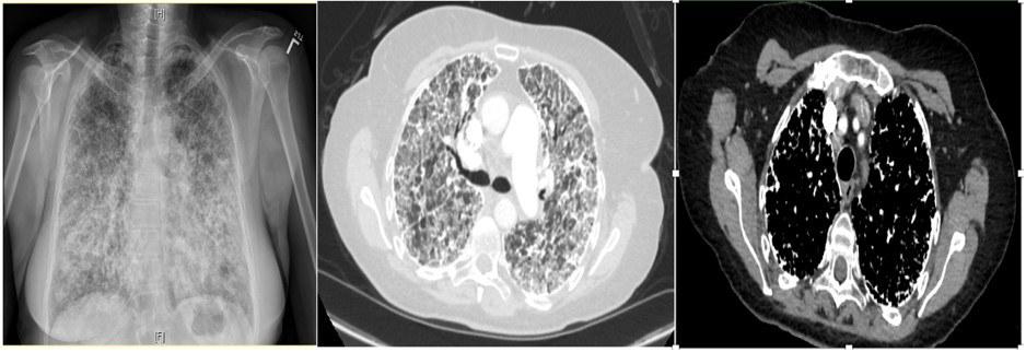
A 65-year-old non-smoking Caucasian female presented with 2-years of progressively worsening dyspnea and dry cough. She denied any history of malignancy, sick contacts, pets, or significant exposures. On physical examination, she was noted to have scattered crackles. Sputum culture and viral respiratory panel were negative, and autoimmune serology workup, including ANA, RF, MPO, PR-3, Anti-CCP, C-ANCA, P-ANCA, and anti-Scl-70, were within normal limits. Chest x ray, CT chest revealed the below findings (Figure 1):

Question
What is the least invasive approach in confirming the diagnosis?
A. Bronchoscopy with bronchoalveolar lavage
B. Induced Sputum
C. Bronchoscopy with transbronchial biopsy
D. High resolution computed tomography (HRCT)
E. Pulmonary function testing

