Author
Ashley D Nelson, MD
Pulmonary and Critical Care Fellow
University of Utah School of Medicine
Case
History of Present Illness: A 56 year old female presented to the hospital for an episode of syncope. Her syncope occurred earlier in the day while she was going to the bathroom. She felt dizzy, and then briefly fainted. Her mother, who is also her caregiver, witnessed the episode. It lasted for a few seconds and the patient quickly returned to her baseline level of consciousness. She has had similar episodes in the past.
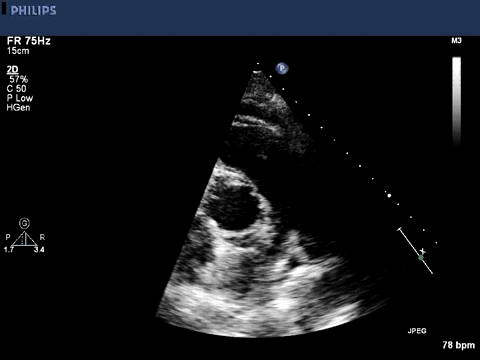
Past Medical History: Mitral valve endocarditis complicated by an embolic cerebellar stroke one year ago. She continues to have nausea, vertigo, poor oral intake with subsequent weight loss and failure to thrive. She also has chronic kidney disease and coronary artery disease.
Physical Exam:
Upon presentation her vital signs were normal. She had a normal physical exam.
EKG: Qtc 480 msec, otherwise normal.
Initial labs: WBC- 3 x 103/µL, Hemoglobin- 10 g/dl,
Troponin I- 0.37 ng/mL, Creatinine- 2.2 mg/dl (baseline is 2), the rest
were within normal limits.
Imaging: A CT head and CXR were normal.
Given her history of endocarditis, an echocardiogram was performed.

Question
What is the most likely diagnosis?