Authors John L. Temple MD, Internal Medicine Resident Daniel A. Sweeney MD, Pulmonary Critical Care Attending Michael J. Wilkinson MD, Cardiology Fellow Lori B. Daniels MD, MAS Cardiology Attending University of California - San Diego San Diego, California
Case
History of Present Illness: 77-year-old woman presented to the ED with two hours of acute onset of severe, sharp chest pain radiating to her right back.
Past Medical History: Atrial fibrillation on Warfarin, diastolic heart failure and hypertension.
Vital Signs: BP 106/33 mmHg; pulse 64/minute; respirations 15/minute; pulse oximetry 98% on 2L nasal cannula; temperature 98.2°F.
Physical Exam: Moderate distress, diaphoretic, alert
and oriented, 3/6 systolic murmur best heard at right upper sternal
border, 2/6 early diastolic murmur, JVP 8 cm H2O, radial pulses 2+ bilaterally.
ECG: Sinus bradycardia; T-wave inversions in leads II, III, aVF; 1mm down-sloping ST depressions in leads V4-V5.
Imaging: Chest X Ray revealed cardiomegaly without evidence of mediastinal widening, pulmonary edema, or pleural effusions.
Cardiac point-of-care ultrasound (POCUS) was performed and a representative video was obtained.
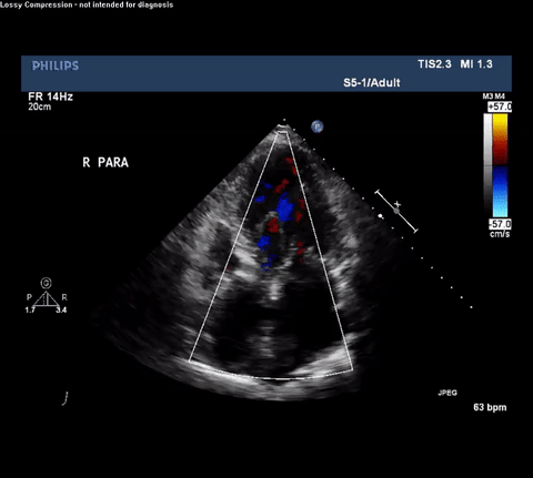
TTE Parasternal Long Axis View
Question
What is the cause of this patient’s chest pain?
Answer
Type A acute aortic dissection (TA-AAD). Cardiac POCUS imaging in the
parasternal long axis revealed the intima of the ascending aorta undulating in
and out of the left ventricular outflow tract throughout the cardiac cycle,
consistent with a TA-AAD.
TTE Parasternal Long Axis View
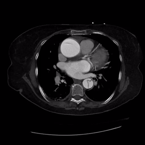
CT Thorax with angiogram
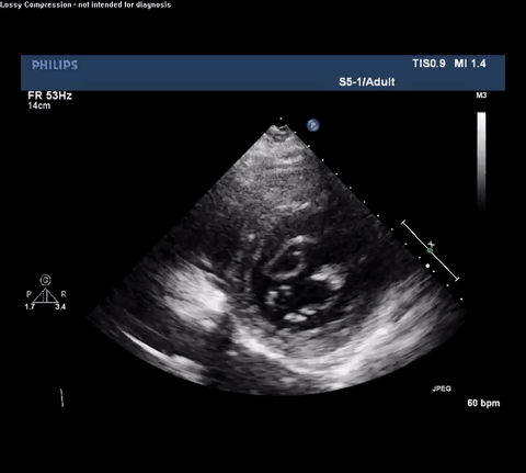
TTE Parasternal Short Axis View
TTE Apical Four Chamber View
TTE Apical Four Chamber View With Doppler
Discussion
In this case, POCUS resulted in the early diagnosis and prompt treatment of
TA-AAD. Cardiothoracic surgery was immediately consulted, and after correcting
her supratherapeutic INR, she was taken to the OR for emergent surgery. She
received a bioprosthetic aortic valve and her aortic root was replaced with a
synthetic graft. Her left atrial appendage was excluded with a clip to lower
her long-term risk of stroke in the setting of atrial fibrillation. She had an
uneventful recovery and was discharged home in stable condition.
There are two commonly described mechanisms by which TA-AAD occur. A tear in
the aortic intima allows high-pressure blood to enter the media and separates
the two layers. Alternatively, a rupture of the vasa vasorum allows blood to
enter the aortic media creating a hematoma that forces the two layers apart.
The later is considered to be much less common, accounting for only 5-10% of
reported cases1.
In one large registry study, in-hospital mortality from TA-AAD was 34.9%. This
study noted the highest mortality occurs in the first 7 days after the
development of symptoms2. Other investigators have determined that
TA-AAD has a mortality rate of 1-2% per hour over the first 24 to 48
hours3. This pattern of early mortality after the development of
symptoms emphasizes the importance of making a timely diagnosis of TA-AAD.
In general, transthoracic sonography is not considered to be a reliable
diagnostic tool for TA-AAD. A retrospective single center study reported on
270 patients suspected of having either an ascending aortic dissection or
intramural hematoma who were initially screened for disease using
transthoracic echocardiography (TTE). The reported sensitivity, specificity,
positive and negative predictive values for TTE in the diagnosis of TA-AAD
were 87%, 91%, 75%, and 95% respectively. The 58 patients who were correctly
diagnosed by TTE experienced a rapid transit time from admission to the
operating room (43 ± 25 minutes)4. However, had TTE been the sole
diagnostic modality, 9 cases of TA-AAD would have been missed and these
patients would have likely died. It must be further noted that this study
tested TTE using a full-sized ultrasound machine, and the exams were performed
and interpreted by experienced cardiologists who utilized additional views
which are not routinely executed by POCUS practitioners. Thus, it is likely
the test performance characteristics of cardiac POCUS for diagnosing TA-AAD
are even less robust.
Despite these shortcomings, cardiac POCUS can be performed quickly and does
not require either transport or IV contrast. This case illustrates how
intensivists performing routine cardiac POCUS exams need to be able to
identify both direct and indirect signs consistent with TA-AAD or else an
opportunity to provide expedited care may be missed. For example, it is
important to recognize the presence of an intimal flap which must be
differentiated from reverberation or mirror artifact originating from nearby
structures. Color Doppler can aid in identifying both true and false lumens
along with aortic regurgitation. Finally, depending on the clinical setting
other findings may be associated with TA-AAD and should raise concern for this
diagnosis including: bicuspid aortic valve, dilated aortic root, aortic
regurgitation and pericardial effusion.
References
Mann DL, Zipes DP, Libby P, Bonow RO, Braunwald E.
Braunwald's heart disease : a textbook of cardiovascular medicine.
Tenth edition. ed. Philadelphia, PA: Elsevier/Saunders; 2015.
Fojtik JP, Costantino TG, Dean AJ. The diagnosis of aortic dissection by
emergency medicine ultrasound. J Emerg Med. 2007;32(2):191-196.
Chirillo F, Marchiori MC, Andriolo L, et al. Outcome of 290 patients with
aortic dissection. A 12-year multicentre experience.
Eur Heart J. 1990;11(4):311-319.
Cecconi M, Chirillo F, Costantini C, et al. The role of transthoracic
echocardiography in the diagnosis and management of acute type A aortic
syndrome. Am Heart J. 2012;163(1):112-118.