Author
Daniel A. Sweeney, MD
Associate Clinical Professor
Division of Pulmonary, Critical Care and Sleep Medicine
University of California, San Diego
La Jolla, CA
Case
History of present illness: An 81 yo woman, visiting from China, presents with two-day history of shortness of breath, fever and chills. She was initially admitted to the general ward but transferred to the ICU for management of hypotension.
Past Medical History: hypertension
Vital signs: BP 90/40 mmHg; pulse 110/min; respiratory rate 22/min; pulse oximetry 94% on 100% NRB mask; temperature 102.1°F
Physical Examination: Tachycardic, Crackles over lower chest bilaterally; abdomen is soft on deep palpation with no rebound or guarding
Initial labs: WBC- 10 x 103/µL; hemoglobin 10.4 g/dl; Creatinine- 1.6 mg/dl; lactate 5.6 mmol/L; urinalysis is unremarkable
Imaging: Portable CXR showed mild cephalization of the vessels and blunting of costophrenic angles bilaterally.
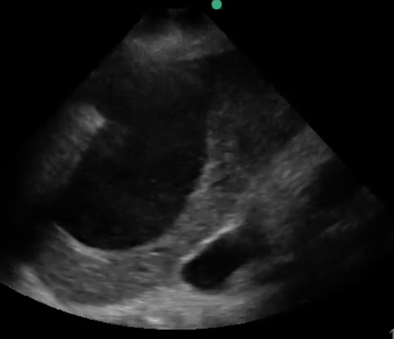
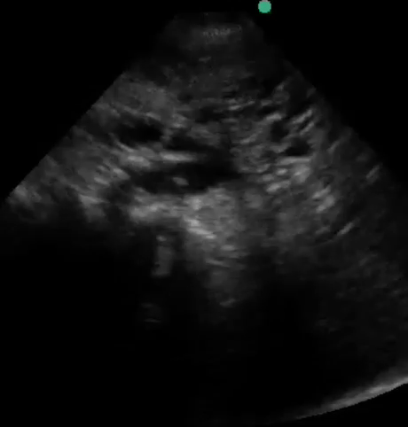
Point-of-care sonography was performed in order to assess volume status and the following representative image was obtained

Question
What is the most likely cause of hypotension in this patient?
A. Cardiac failure
B. Sepsis
C. Dehydration


