Authors & Affiliations
Daniel Fuchs, DO MS
Resident Physician
Denver Health Residency in Emergency Medicine
Denver Health Hospital
University of Colorado Hospital, Denver, CO
Tim Tran, MD
Assistant Professor
Department of Anesthesiology, Critical Care Division,
University of Colorado Hospital, Aurora, CO
Marianne Wallis, MD
Assistant Professor
Department of Emergency Medicine
Department of Anesthesiology, Critical Care Division,
University of Colorado Hospital, Aurora, CO
Case
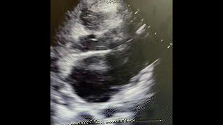
A 23-year old female with a reported history of IV drug abuse presents to the emergency department (ED) via EMS with complaints of anxiety, chest pain and shortness of breath. After initially declining placement on a cardiac monitor, she became significantly agitated followed by agonal breathing and subsequently suffered cardiac arrest. CPR was started and the patient was intubated with return of spontaneous circulation after one round of ACLS. Bedside point of care ultrasound (POCUS) demonstrated the cardiac findings below. Laboratory evaluation also demonstrated a significant metabolic acidosis, renal failure, hyperkalemia, and anemia.

Question
What is the significant finding on this bedside ultrasound?
A. Significantly reduced LV ejection fraction
B. Pericardial effusion
C. Mitral valve vegetation projecting into the left atrium
D. Tricuspid valve vegetation with projection into the right atrium