Author
Rahul Khosla, MD
Assistant Chief, Pulmonary Section
VA Medical Center
Washington, DC
Case
History of present illness: A 65 year old male, IV drug abuser, presents with dyspnea, right-sided pleuritic chest pain, and a productive cough of one day duration. In the ER a right subclavian line is placed. Patient complains of worsening dyspnea post procedure.
Past medical history: IV drug use, severe COPD and non-ischemic cardiomyopathy.
Vital signs: Respiratory rate: 30/min, pulse 110/min, BP 100/50 mmHg, pulse oximetry 90% on 4 Liters oxygen via nasal cannula
Physical Examination: decreased breath sounds bilaterally, no other remarkable finding.
EKG: sinus tachycardia
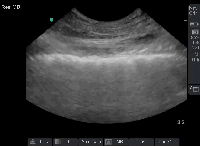
Chest radiograph is ordered and is pending. In the interim, bedside lung sonography is performed, and the following finding is present bilaterally at multiple points of examination.

Question
Based on the ultrasound findings, which one of the following can be ruled out as a cause of dyspnea:
A. Pneumothorax
B. Pneumonia
C. Pulmonary embolism
D. COPD exacerbation