Cardiac Tamponade.
On a limited bedside TTE, the patient was found to have a large,
generalized pericardial effusion. Diastolic right ventricular and atrial
collapse was also present, concerning for cardiac tamponade. A
pericardial drain was placed.
Image 1 shows a subcostal window of the inferior vena cava entering
into the right atrium. The guidewire is seen within the vena cava.
Interposed between the liver and the right ventricle is a large
pericardial effusion.
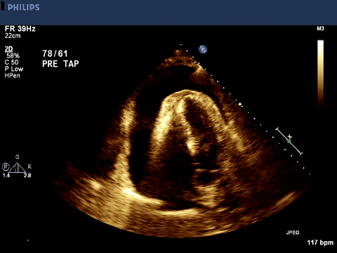
Image 2 shows an apical 4-chamber view, with pericardial effusion and
right atrial collapse. The right atrium is the thin-walled chamber on
the lower left of the image of the heart. The right ventricular wall is
hyperechoic, which obscures some of the distal structures.
Cardiac tamponade is a potentially life-threatening condition due to
compression of the heart from a pericardial effusion under pressure that
leads to cardiovascular compromise or collapse. Symptoms of cardiac
tamponade are generally non-specific and include dyspnea, chest or
abdominal pain, and malaise.1 On physical exam, the
components of Beck’s triad (hypotension, elevated JVP and muffled heart
sounds) are found only in a minority of patients with tamponade.2
Patients are usually hypotensive, tachypneic and tachycardic. Presence
of pulsus paradoxus (fall in systolic blood pressure by >10 mmHg
during inspiration) increases the likelihood of tamponade.2
While tamponade is often described as being a “clinical diagnosis,"
confirmatory testing is usually necessary, with echocardiogram being the
most common diagnostic test.2
Echocardiogram findings of tamponade include pericardial effusion,
usually circumferential, but presence of effusion alone is not
indicative of tamponade. Right atrial collapse and right ventricular
diastolic collapse is also present. Tamponade can occur regionally as
well with localized left heart compression.3 When tamponade
is present, left ventricular filling and stroke volume decrease
significantly during inspiration (normally there is an initial decrease
with inspiration followed by an increase). Additional features include a
dilated inferior vena cava without respiratory variation or collapse
and abnormal variation in tricuspid and mitral flow velocities.
This patient’s hypotension corrected with drainage of 830 cc of
bloody fluid from his pericardium. He remained hemodynamically stable
and his pericardial drain was removed 24 hours later. The pericardial
fluid had malignant cells present on cytological analysis. He
subsequently had a transcutaneous needle biopsy of the right lung mass
which was found to be poorly differentiated bronchogenic adenocarcinoma.
After consultation with the oncology and palliative care services, the
patient was discharged home on hospice.
References
- Spodick DH. Acute cardiac tamponade. N Engl J Med. Aug 14 2003;349(7):684-690.
- Roy CL, Minor MA, Brookhart MA, Choudhry NK. Does this patient with a pericardial effusion have cardiac tamponade? JAMA. Apr 25 2007;297(16):1810-1818.
- D'Cruz IA, Cohen HC, Prabhu R, Glick G. Diagnosis of cardiac
tamponade by echocardiography: changes in mitral valve motion and
ventricular dimensions, with special reference to paradoxical pulse. Circulation. Sep 1975;52(3):460-465.